网站首页  词典首页

请输入您要查询的字词:

 

字词 吸入性肺炎
类别 中英文字词句释义及详细解析
释义

吸入性肺炎


一、概述

吸入性肺炎(aspiration pneumonitis)系吸入酸性物质、食物、胃内容物或其他刺激性液体或挥发性的碳氢化合物后,引起的肺损伤。严重者可发生呼吸衰竭或呼吸窘迫综合征。

二、流行病学

吸入性肺炎可发生于任何年龄,但以老年人发病最多。因临床诊断较困难,其确切发病率尚不明确。有报道称,一般人群中的社区获得性肺炎有5%~15%是由吸入异物引起的;有学者以同位素示踪检查法研究发现,71%的老年社区获得性肺炎为隐性吸入;有脑基底节梗死的老年患者,吸入性肺炎的患病率高达60%~90%。有报道称,吸入性肺炎的病死率达40%~60%。在社会逐渐老龄化的今天,该病越来越引起临床重视。临床上吸入胃内容物引起的吸入性肺炎较多见;误吸煤油、汽油、干洗剂等,多见于儿童。

三、病因

由于会厌、声门、保护性的反射和吞咽的协同作用,正常人不易将食物和异物吸入下呼吸道,少量液体亦能通过咳嗽排出。当神志不清(如全身麻醉、脑血管意外、癫发作、酒精中毒或安眠药中毒等)时,由于吞咽和声门关闭动作不协调,使咳嗽受到抑制,导致异物吸入;食管病变,如食管失弛缓症、食管上段癌肿、Zenks食管憩室,使食物下咽不能全部入胃,而反流入气管;癌肿或创伤引起的食管气管瘘可使食物经食管直接进入气管内;医源性因素,例如胃管刺激咽部引起呕吐,气管插管或气管切开影响喉功能而抑制正常咽部运动等,可将呕吐物吸入气道。老年人反应性差,更易发生吸入性肺炎。临床上吸入胃内容物引起的吸入性肺炎较多见。

四、生理病理

吸入胃内容物后,由于胃酸的刺激,可产生急性肺部炎症反应。其严重程度主要由以下因素决定。

1.吸入物的pH:吸入物的酸度是最重要的引起肺部损害的单一因素。有人提出pH值为2.5是引起严重肺部炎症病变的临界值。

2.有无食物微粒:即使吸入非酸性胃内容物,也可导致严重肺部炎症病变和支气管周围炎性反应。

3.吸入物的量:吸入的胃酸超过每千克体重0.4ml,已足以引起肺部炎症病变。

4.吸入物的分布:很多患者在吸入后立即开始咳嗽,可能一定程度上保护肺不受损伤,但也可能使胃酸散布更加广泛,而引起弥漫性伤害。

胃酸进入气管后,可迅速分布到肺部;在12~18秒内可达到胸膜,并很快被支气管分泌物中和;不到30秒,支气管表面的pH值恢复正常。酸对支气管、细支气管和肺泡壁造成化学性灼伤,导致体液渗出进入肺部。严重损伤又没有补充液体时,血浆容量可减少35%之多,心排出量和动脉血压也可下降。胃酸刺激支气管痉挛,随后产生支气管上皮的急性炎症反应和支气管周围炎性浸润。进入肺泡的胃液可迅速扩散至肺组织,引起肺泡上皮细胞破坏、变性;并累及毛细血管壁,使血管壁通透性增加,导致血管内液体渗出,引起水肿及出血性肺炎;同时,由于肺泡毛细血管膜被破坏,形成间质性肺水肿。数日后,肺泡内水肿和出血逐渐吸收,并被透明膜代替,久之可形成肺纤维化。吸入食物或异物时,若将咽部寄居菌带入肺内,可导致以厌氧菌为主的继发性细菌感染,形成肺脓肿。肺水肿使肺组织弹性减弱、顺应性降低、肺容量减少,加之肺泡表面活性物质减少使小气道闭合、肺泡萎陷而引起肺微不张,均可产生通气不足、通气/血流比值降低及静动脉血分流增加,导致低氧血症或代谢性酸中毒。血管内液大量渗出或反射性血管扩张,可产生低血压。

碳氢化合物吸入的病理过程与胃酸吸入相似。因其表面张力低,吸入后可立即在肺部大面积扩散,并使表面活性物质失活,而易产生肺不张、肺水肿,导致严重低氧血症。

五、临床表现

患者常有异物吸入史或诱因,迅速发病,多于2小时内出现症状,有些患者吸入大量胃酸后几乎立刻发生窒息、低血压甚至死亡。临床表现与诱发病因有关,如由气管-食管瘘引起的吸入性肺炎,则于每次进食后有痉挛性咳嗽、气急;在神志不清的情况下吸入,常无明显症状,1~2小时后可突然发生呼吸困难,迅速出现发绀和低血压,常咳出浆液性泡沫痰,可有痰中带血。50%的患者在最初36小时内出现发热。查体于两肺闻及湿啰音,可伴哮鸣音;临床表现可有严重低氧血症,可发生急性呼吸窘迫综合征,并可伴二氧化碳潴留和代谢性酸中毒。

六、检查

1.实验室检查 呈非特异性,较早出现白细胞计数中度增高伴核左移,动脉血气显示低氧血症。当患者已吸入纯氧数分钟后,其动脉血氧张力并未升至预计水平,这表明肺内血液分流增多。动脉血PCO2可能略有升高、正常或轻度下降。

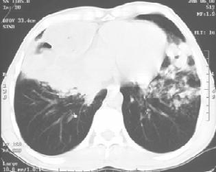
2.胸部X线检查 变化较大,不具有特异性,通常于吸入1~2小时后即能见到两肺散在边缘模糊的不规则片状阴影。肺内病变分布与吸收时体位有关,常见于中下肺野,以右肺多见。发生肺水肿,则两肺出现的片状、云絮状阴影融合成大片状,从两肺门向外扩散,以两肺中内带为明显;这与心源性急性肺水肿的X线表现相似,但心脏大小和外形正常,无肺静脉高压征象(图1-4)。

图1-4 男性,诊断为吸入性肺炎

3.支气管镜检查 在气管或支气管中看到食物颗粒和其他胃内容物,则具有诊断价值。

4.其他 国外学者用同位素检查法将含有同位素氯化铟的膏状物黏附于患者的牙床上,经一夜溶解与唾液一起进入肺部,其中71%有肺炎史的老年患者发生吸入。上述同位素方法及传统X线透视吞咽检查法皆因操作复杂,只能用于临床科研而不适宜一般临床应用,故一些学者建立了检查吞咽及咳嗽反射的方法以判断患者是否有吸入。

(1)吞咽激发试验(SPT):将细的导管经鼻置于喉上方,注入蒸馏水刺激吞咽运动,根据吞咽运动出现时间判断有无吞咽障碍。选择有肺炎史的老年人和对照组(没有吸入性肺炎史的老年人)比较出现吞咽动作的时间。第1次先注入0.4ml蒸馏水,判断两组出现吞咽反射的时间,其敏感性和特异性分别是100%和83.8%;第2次注入2ml蒸馏水,其敏感性和特异性分别是76.4%和100%。

(2)水吞咽试验(WST):要求患者在10秒内饮下10~30ml水,饮水过程无中断为正常(无吸入证据)。第1次先饮10ml水,其敏感性和特异性分别是71.4%和70.8%;第2次饮30ml水,其敏感性和特异性分别是72.0%和70.3%。有学者认为SPT较WST在鉴别吸入性肺炎的危险因素方面更加有用,具有较高的敏感性和特异性,而且不需要患者的配合,是一种临床可行的检查。

(3)柠檬酸超声雾化吸入试验:可用来评价咳嗽反射,以不同浓度柠檬酸做超声吸入,每个浓度各吸入1分钟,计算引起咳嗽的时间及药物浓度。老年组引起咳嗽的浓度明显增高。

(4)P物质检测:P物质是一种神经递质,由迷走神经感觉支在颈部神经节合成后释放到咽及气管;多巴胺可促进其合成。P物质可引起气道毛细血管通透性增加、过度分泌,引起平滑肌收缩及咳嗽等,因此P物质减少可使咳嗽及吞咽反射减弱而产生误吸。有学者通过对老年吸入性肺炎患者痰中的P物质浓度进行检测认为,痰中P物质浓度的降低可作为判断吸入性肺炎的标志。

七、诊断及诊断标准

以上各种检查方法都或多或少有助于临床及科研对吸入肺炎的诊断。但对于高龄重症肺炎患者,一些实验方法难以实行,主要靠临床观察来判断是否有隐性吸入。例如,有无泌涎困难,食物及唾液自口腔流出,食物在口腔滞留、咀嚼时间过长,一口食物要分多次咽下,咽下延迟,吞咽前、中、后发生咳嗽、窒息,餐后口腔残留食物,吞咽时喉结上提减弱或消失,咽下后打嗝,吞咽时头颈的姿势异常,咽下疼痛,口咽感觉迟钝等。我们认为,如能仔细观察临床表现,结合患者的各种有关基础病(如脑血管病及各种原因所致的意识障碍等),虽不能做有关检查,仍可大大提高隐性吸入所致的吸入性肺炎的诊断水平。

八、鉴别诊断

1.心源性肺水肿 患者既往有高血压或心脏病史,常见病因包括心肌缺血(有或无心肌梗死)、慢性收缩性或舒张性心力衰竭病情恶化、二尖瓣或主动脉瓣功能不全;往往表现为在夜间睡眠中突然憋醒、被迫坐起,发作时伴有频繁咳嗽、咳泡沫样(特别是血沫样)痰,端坐后可以使症状有所缓解。心源性肺水肿患者在接受心脏检查时往往有异常发现,如可见心脏扩大、心律失常和心音异常等。奔马律是左室舒张末压升高和左室功能不全患者相对特异的表现。血浆脑型钠尿肽(BNP)水平常用于本病与吸入性肺炎的鉴别。

2.社区获得性肺炎 发热、咳痰、胸痛为本病最常见的临床症状(重症患者可有呼吸困难、缺氧、休克等表现),还常伴有肺外症状,如头痛、乏力、腹胀、恶心、呕吐、纳差等。血白细胞计数和中性粒细胞的比例通常升高。胸部X线检查示肺叶或段性实变,或呈片状或斑片状浸润影,边缘模糊不清,没有空腔形成。本病常见病原体为肺炎链球菌、流感嗜血杆菌、支原体、衣原体和病毒等。

3.ARDS 是由于严重感染、创伤、休克等肺内外袭击而出现的以肺泡毛细血管损伤为主要表现的临床综合征。临床特点为急性起病,呼吸频速、窘迫,进行性低氧血症,可持续数周,单纯氧疗无法纠正低氧血症;影像学检查显示双肺弥漫性浸润影。

随便看

 

文网收录3541549条中英文词条,其功能与新华字典、现代汉语词典、牛津高阶英汉词典等各类中英文词典类似,基本涵盖了全部常用中英文字词句的读音、释义及用法,是语言学习和写作的有利工具。

 

Copyright © 2004-2024 Ctoth.com All Rights Reserved
京ICP备2021023879号 更新时间:2026/4/17 20:24:59