网站首页  词典首页

请输入您要查询的字词:

 

字词 心血管疾病的评估及诊断
类别 中英文字词句释义及详细解析
释义

心血管疾病的评估及诊断


2.2.1 采集病史

通常对于一般心血管疾病的患者,固定模式的问诊即可对患者做出一定评估。最常见的症状就是胸痛及气短。同时,还可能出现不舒服或担扰的症状。因此,很重要的一点就是要能意识到患者可能会极端焦虑(甚至产生对死亡的恐惧),这可以通过几方面表现出来。

患者可能会比较暴躁、焦虑,或是沉默寡言。而医生的工作就是要有效地处理这些情绪,从而采集到完整的病史。表现得自信、有把握及富有同情心往往比较容易成功。从他们的角度探察及考虑问题。在开始前要让患者放松——记住,眼神的接触对于建立和睦的关系是非常重要的——最后,要仔细聆听患者的回答(至少看上去你正在认真聆听)。

●切记:以开放式的提问开始询问病史,以鼓励患者更全面地描述症状:

“谈谈你的病吧……是怎样开始的呢……怎么不舒服呢?”

●然后逐渐向细节问题过渡,例如:

“犯病的时候你正在做什么呢……这种情况持续了多久?”

一般说来,最好能鼓励患者用自己的话描述病情。

1.患者主诉

(1)胸痛 尽管也可以由呼吸系统疾病或骨骼肌肉疾病所致,但仍可认为是心绞痛或心肌梗塞的主要表现。同时,清楚疼痛的性质也是很重要的。心前区疼痛通常被描述为压榨性、沉重感或是“像有带子紧捆在胸前”。询问患者发病时正在进行的活动,例如心绞痛常由活动引起。询问是否存在牵涉痛:心前区疼痛常放射至左臂或双臂或下颌。询问是否有恶心、呕吐及嗳气。估计疼痛持续的时间。

(2)气短 气短症状是心脏病的常见表现,一般于活动时耐力下降及登山时出现气短而被发现。切记要询问患者可以步行多远,然后再提问:

●“在气短前你大概可以走多远?”

气短常于夜间加重。

询问患者是否可以平卧,需要几个枕头,是否曾因气短而于夜间憋醒:

●“你可以平卧吗?…你一般使用几个枕头?…你夜间曾因气短而被憋醒过吗?”…

如果是:

●“你通常会怎么做呢?”

患者一般会觉得需要到窗前呼吸新鲜空气。患者还会有一些与气短相关的心衰的其他症状,因此可以直接询问踝部是否水肿:

●“你注意到你的踝部是否肿了么?”

(3)心律不齐 心脏病的患者常有心律不齐,后者往往可以导致晕厥。询问:

●“你曾经有过黑朦吗?……跟我谈一下当时的情况。”

心律不齐常伴随心悸——一种能清楚感觉到自己心跳的感觉。大多数人都能理解这一概念。嘱患者在桌上拍出其感到心悸的心跳,有助于判定心律是否规则及心率的快慢。心脏疾病患者采集病史的重点已列于表7。表8具体描述了胸痛的不同种类。

表7 询问的重点

表8 不同种胸痛的示例

2.病史的其他重点部分

缺血性心脏病的患者还可伴有身体其他部位的血管疾病的症状。其中最常见的是间歇性跛行,行走时腿部抽筋似的疼痛,通常休息后缓解。询问患者在不得不停下休息前可以走多远,这种不适一般持续多久,如何缓解,休息几分钟后自己是否可以继续行走,了解跛行疼痛的具体位置。

(1)既往史 当询问既往史时,应着重强调风湿热,后者很容易导致瓣膜疾病。但是,自从常规运用抗生素治疗咽痛以来,这一情况不再常见,其重要性也逐渐降低。然而,老人及那些在发展中国家成长的人仍有感染的可能。还应该询问高血压、糖尿病病史及以上提及的心血管疾病症状是否曾一过性发作。当然,还要询问以前是否有过胸痛和/或心脏病发作。

(2)个人及社会史 对于心血管系统疾病来说,这一点在病史中尤为重要,它可以让你知道患者的症状对他们生活的影响,还可以帮助你从患者的生活习惯中,找出其患病的诱导因素。

询问他/她是否锻炼身体,在患病前他/她可以进行何种活动。这些可能与主诉有所重复。

这时,你会感到性生活史是很有意义的。患者是否曾有心肌梗死的病史并不重要,但是在某种情况下还是有必要询问的。例如,一名老年男子可能会在性交的过程中心绞痛发作,这也许会影响到他与其性伴侣的关系。

(3)家族史及治疗史 心脏病的家族史是冠心病典型的危险因素,因此确定近亲中是否有胸痛病史或心脏病甚至猝死者是十分必要的。当心肌梗死在整个家族中蔓延时,询问亲属发作的年龄十分重要。

患有心脏病史的病人通常都使用很多药物。如果患者曾服用过甘油三酯,一定要问清用药后是否能缓解疼痛以及起效时间(甘油三酯对缺血性胸痛的起效时间为5min),记录曾用药及剂量以及停药原因等都是很重要的。甚全可以包括吸烟和饮酒的情况,要询问患者是否吸烟,如果答案是否定的,还要问清他/她是否曾吸过烟以及吸烟量,还要问清患者戒烟的原因。询问饮酒史时也要依据以上思路。

表9为心血管疾病病史询问要点。

表9 心血管系统疾病病史采集纲要

2.2.2 查体

为了使心血管系统查体更精确,患者应该彻底放松,检查室不要太冷。首先观察患者的手、胸、颈,测量脉搏、血压,然后按视、触、听的顺序进行检查。

1.一般检查

查体从患者的一般状态开始。

他/她是否有病容,休息时表情自如或气短?

是否存在中心型发绀?测量体温

观察患者的双手。心血管系统检查时要注意周围性发绀,杵状指以及出血点。然后看球结膜以确定是否贫血以及重新检查是否有中央型发绀。

图14 杵状指

2.动脉搏动

触诊桡动脉搏动(如图示15)要确定双腕桡动脉搏动频率、节律、强度相等并处于同一周期,将其特点记录下来。

图15 触诊桡动脉

触诊桡动脉通常需要15秒以上,然后计算其频率。在正常的呼吸运动下(窦性心率),脉搏节律应规律。如果节律不整,你要提出以下问题:

●“脉搏基本是有节律性的,只是偶尔不整吗?”(逸搏或偷停)这提示存在异位搏动(心脏从窦房结以外的其他地方起搏),异位搏动可以是室性的,也可以是室上性的(房性或房室结),如果是室性起搏,通常会有暂时的停顿存在。

●“搏动性在时间及强度上都是不规律的吗?”这暗示可能有心房纤颤。有时从脉搏上很难分析出心脏的节律,这需要听诊。你也许听过“不规则—规则脉”或“规则-不规则脉”,这是术语的混淆,脉搏只有规则与不规则。

接下来检查搏动强度——振幅大小。小振幅波动提示心跳强度低,心搏出量少;而大振幅搏动则说明左室搏动增强。尤其在患者面前,不要谈及脉搏的强或弱。

脉搏性质指波形。此时最好检查手臂或颈动脉,因为它们与心脏搏动更相近。搏动波很大程度上受到动脉传导的影响,因此在一点检查比更多点更易发现异常。

奇脉指吸气时脉搏明显减弱。在呼吸周期中,吸气时肺叶扩张使胸腔内负压显着增加,其直接结果为肺血管中血液及左室血流容量减少(见“生理学”,41页)。通常通过测量吸气及呼气状态下的收缩压以计算其压力差,此时要缓慢释放血压计气囊中的气体,依据搏动音产生和消失时水银柱下降水平记录数据。

当周围血管填塞或哮喘发作时,左室血流量会骤减,触诊周围血管搏动或测量血压都可以发现,搏动强度在吸气时减弱,呼气时增强(奇脉)。

3.周围动脉检查

检查股动脉时最后让患者处于平卧位并且充分暴露。检查者首先将拇指置于腹股沟中点(图16),同时检查桡动脉及股动脉搏动周期是否一致——主动脉缩窄的病人脉搏强度减弱,并且比心脏搏动延迟。记录脉搏搏动强度并将听诊器置于腹股沟区,听诊脉搏传导情况。腘动脉位于腘窝深部,检查时,最好用双手指按压其股骨远端(图18)。患者平卧位,膝关节屈曲。触诊足背动脉及胫动脉时的体位如图示(图19、图20),其方法同上臂动脉触诊。

图16 触诊股动脉搏动

图18 触诊腘动脉搏动

图19 触诊足背动脉搏动

图20 触诊胫后动脉搏动

动脉囊动及其鉴别

●肱动脉搏动(图21)易于在患者右臂触及,将右手手指置于肘前肱二头肌肌腱中央,其余手指置于肘后支持。

图21 触诊肱动脉搏动

●颈动脉搏动(图17)易于在患者右侧触及:将左手手指置于胸锁乳突肌前缘中点处(通常是皮肤褶痕的一侧),用力向后压.不要同时触诊双侧颈动脉,否则可能一时阻断脑血流。这一点,对老年人来说尤为重要。三种常见异常为颈动脉充盈迟缓、颈动脉塌陷及重搏。

图17 触诊颈动脉搏动

4.颈静脉压

颈静脉压指卧位时颈静脉压力,相当于右房压力(中心静脉压)。另外,它还提示心房搏动幅度。

检测颈静脉压

检查颈内静脉,患者应取45°休息位(图22)。通常,以灯光照射颈部更有利于检查颈静脉搏动。可通过以下几点与动脉搏动相鉴别:

图22 测颈静脉压,患者取45°休息位

●颈根部静脉逐渐加压时,静脉搏动可消失。

●通常随呼吸变化,当持续压迫上腹部时,静脉充盈度可上升。

●一般静脉搏动柔和、较快、无搏动感:而动脉搏动呈典型的膨胀性。

在体格检查中,右颈内静脉十分重要,因为它与上腔静脉及右房直接相关——而作为主动脉弓的终末,左颈内静脉会有压力升高的假象。测量颈静脉压是一项很难掌握的技能,因此,这将详细况明。如果你清楚你的观察目的,你将很容易明白其中要点。

测颈静脉压需在胸骨角(图23)。通常颈静脉显露不会超过该处——如果患者于45°半卧位时,其静脉显露高于此处2cm则说明颈静脉压力增高(图24)。颈静脉压力升高反应右室舒张压增高。如果颈静脉压明显增高而颈动脉搏动未触及,要怀疑是否有上腔静脉阻塞存在。

图23 测量颈静考胸骨角

图24 颈静脉压水平与胸骨角的关系

在正常的静脉波形中很容易找到“a”波及“v”波,相对于主动脉搏动波提示心室收缩,静脉波形提示其舒张。它们在动脉搏动之前,即“a”波(收缩期前)或近似于主动脉搏动,即“v”波出现时(图25)。

图25 各种情况下颈静脉波形

异常的高大“a”波提示右室增生肥厚及三尖瓣狭窄,在心房纤颤时“a”波消失。

异常高大的“v”波则提示三尖瓣关闭不全,血液于收缩期时自右室返流。

“大炮”波则是由于在心脏完全阻塞时,心房对抗紧闭的三尖瓣收缩时产生。

5.血压的测量

记录血压,要写收缩压、舒张压以及当时患者的体位(表10),表中为正常人近似血压。

表10 血压

6.心脏视诊

通常心脏视诊并没有太大作用——心尖搏动是看不到的。当然,记录下所见的疤痕,如左乳下二尖瓣手术疤痕,剖开胸骨的瓣膜置换术或冠状动脉搭桥术的疤痕等,仍是十分必要的。

7.心前区触诊

心尖区是指心脏左下方的最远点。在该区域可以触及明确的心脏搏动。触诊心尖搏动时,患者取45°休息位,用手掌或指尖进行触摸,通常可在左锁骨中线第5肋间以内触及。若心尖搏动有向外移位的倾向,则说明一侧或双侧心室增大,或是存在胸廓畸形,或肺部疾患造成心脏的外向移位。

现在我们来讨论一下心尖搏动的性质。一般情况下,如果心脏跳动有力,则证明心脏搏动量较大。对于左室肥厚的患者,他的心尖区搏动就相对持续有力,呈抬举样。这与短促而尖锐的正常心跳有明显的差异。例如二尖瓣狭窄时,心尖区搏动被描述为叩击样,这是因为左室肥厚使心室与手掌间相对距离更近,同时也由于我们触到的是由左室收缩期形成的第一心音。

触诊右室肥大时,我们要将手掌置于胸骨左缘,同时要稍加用力。健康成年人,右室的搏动不能在胸壁被触及。而如有右室肥大,则在胸骨旁可以感到抬举样搏动。有时,右室肥厚可以使右室向前扩大代替左室成为心尖的一部分。我们可以采用双手触诊法来鉴别。即将左手放在胸骨旁,而右手置于心尖处,如果可以感觉到两个相对独立的搏动,则证明有双侧心室肥大。在心前区触诊时,我们还可触及细震颤,它们是心脏杂音以低频形式传导至胸壁所致。是否存在细震颤可以由听诊来确定。

测量血压

在裸露的上臂周围,将血压计袖带均匀紧贴皮肤,以左手扶住患者的臂部。手臂过粗或过细时(例如,异常肥胖与儿童),用标准袖带测量的结果不准确,应根据手臂尺寸选择适当的袖带。现在袖带采用尼龙搭扣固定。确定尼龙搭扣位于气囊外侧,否则充气时袖可能打开(图26)。

图26 血压计

●袖带就位后,关闭螺丝阀门,充气加压至高于血压预计值(大约130mmHg)水平。

●当血压计袖带内的压力高于肱动脉压时,肱动脉搏动消失,桡动脉搏动无法触及。

●随着袖带内压力的逐渐降低,血液可部分通过血循环受阻处,产生的声音可通过置于肱动脉上的听诊器而被听到(Korotkoff音)。随着袖带内压力的进一步降低,Korotkoff音变得更响亮清脆,然后再突然变模糊。很短的时间内,声音也会随之消失。

●听到动脉搏动声第一响时的血压值为收缩压,动脉搏动消失时的血压值为舒张压(第5期)。血压测量值通常会有所不同,因此上下波动5mmHg是处于允许范围内的。

●使用听诊器前,大致触诊桡动脉更有利于测定收缩压:这可以帮助你确定你听到声音变化时的数值。当存在相当数量的不同搏动声时(例如房颤),收缩及舒张压的平均水平必须仔细聆听。

●当血压严重偏低,很难听到Korotkoff音时,通过触诊测量收缩压就相对容易些。当袖带放气时,脉搏首先被触到时的血压值即收缩压。而舒张压不适宜通过触诊确定。

8.叩诊

在心血管查体过程中,叩诊仅对确定纵隔有无移位有意义。如:慢性气道不畅或右肺萎陷等所造成的纵隔偏移。也就是说,如果病史或气管的位置没有提示有纵隔偏移的可能,那么就没有必要对纵隔区进行叩诊。

9.听诊

听诊器有两个主要功能即收纳从胸壁传导的声音而滤去外源性杂音以及对某特定频率的声音进行强化。一般说来,钟型听诊器用于听低频声音,而膜件用于听高频声音。在心尖区你可以使用两种听诊器,可以听到由二尖瓣狭窄引起的低频舒张期杂音和二尖瓣返流时出现的全收缩期杂音。然后再用膜件分别对图28所示的各听诊区进行听诊。各听诊区分别是胸骨左缘(三尖瓣听诊区)(图29),胸骨左缘第2肋间(肺动脉瓣听诊区)(图30),胸骨右缘第2肋间(主动脉瓣听诊区)(图31),左腋前线第5肋间(二尖瓣听诊区)。

图27 心尖部听诊

图28 传统的心音听诊区:心尖区(1),胸骨左缘(2),胸骨左缘第2肋间(3),胸骨右缘第2肋间(4),腋前线(5)

图29 胸骨左缘听诊

图30 胸骨左缘第2肋间听诊

图31 胸骨右缘第2肋间听诊

(1)心音 听诊心音时往往可以听到多个心音同时发生,常不易区分。故需多加训练以明确区分心音各组成部分。

(2)第一心音 第一心音是在二尖瓣和三尖瓣关闭时发出的。原因在于收缩早期,各瓣膜向心房运动时张力突然增加,二尖瓣关闭时发出的声音是第一心音的主要组成部分。它的大小取决于使它向心房运动的力度的大小。它的声响可以改变,如二尖瓣狭窄时,心音减弱,同时心房和心室收缩间隔的长短也会影响第一心音的响度,即PR间期越短,第一心音越响亮。

(3)第二心音 第二心音是由主动脉瓣和肺动脉瓣关闭时发出的。如果瓣膜活动度下降(如主动脉瓣狭窄),则相应受累瓣膜所产生的声音就会减弱或消失,一般情况下,吸气会造成第二心音分裂,而呼气相时分裂的心音又会合二为一。这种分裂称为生理性第二心音分裂。根本原因在于呼吸可以引起左右心室搏出量发生微小的变化:吸气时,经静脉向右心房的血液增加,使右心搏出量增多,进而使肺动脉瓣关闭延迟。而与此同时,经肺静脉回左心的血液减少,因而主动脉瓣关闭比呼气相时提前,因此造成第二心音分裂,而在呼气时,血液回流情况与上述相反,故二者合二为一(图32)。如果某种病理改变使右心室收缩延迟,那么这种第二心音的分裂间期就会延长。参见图33。

图32 心音与心室舒张、收缩的关系:图的底部表示记录心音的常用方法。(图示:1心房收缩——2心室舒张——3心室收缩)

图33 第二心音异常分裂

(4)第三、四心音 第三心音的频率较低,可以用钟型听诊器听到。它多出现在第二心音以后,它的产生是由于在舒张早期的快速充盈期内心室发生了突然扩张。大多数儿童和少数30岁以下的成年人可以在心尖区闻及第三心音。但如果是老年人,则预示心室有异常的突然充盈过程存在。心室搏出量异常增加,或左心衰时心室充盈压升高均可导致第三心音出现。

第四心音的频率也很低。它发生在第一心音之前,表明心房的异常收缩。房性心音(或第四心音)的出现表明舒张末期心室内压异常升高。如高血压时左心室舒张末期压力升高。

(5)奔马律 奔马律是指在每个心动周期可闻及三个连续的额外心音,即在第三、第四心音间又多出一个心音。这种声音听起来就像“Ken-tuc-kee”。如心率较快,则第三、第四心音趋于融合,发出“tennes-see”的声音。临床上奔马律意味着心室功能不全。

产生杂音的因素

●血流加速

●血流通过狭窄处会产生湍流

●血流通过粗糙表面(例如动脉粥样硬化形成的斑块时)

●血粘度降低

(6)杂音 杂音的形成是由血液湍流及其引起的相应心内结构震颤所致。能引起杂音的因素如上所述。当然,还有其他因素。

听诊心音时应注意

●发生部位及传导方向

●产生的时间

●强度

●性质——尖锐或低沉,或是乐性的

●有无明显的震颤

(7)杂音产生的时间 由于只有在瓣膜两侧有压力梯度的时候才会产生杂音,所以杂音的产生有其特定的时间,因此判断杂音产生的时间对于鉴别杂音有重要意义。首先应该区分出是收缩期杂音还是舒张期杂音。如果鉴别不清,则可以与颈动脉搏动相对比,然后再分析听到的杂音与心音的关系。图34列出了各种常见杂音的部位及传导方式。

图34 常见心脏杂音的传导及部位

(8)收缩期杂音 引起收缩期杂音的因素有3条:

①全收缩期杂音 该杂音的产生是由于在收缩期由血液经瓣膜的返流,故该杂音的强度在整个收缩期内是相同的。

②喷射性收缩期杂音 该杂音是由于收缩期时血液流经了异常狭窄的瓣膜而形成。杂音的强度通常是由起初的弱,到收缩中期变强直至收缩末期的减弱或消失。

③生理性杂音:由流经瓣膜的血流量增多所致,其特点与收缩期喷射性杂音相同。

舒张期杂音鉴别

●舒张早期杂音通常是由主动脉瓣或肺动脉瓣关闭不全引起。舒张期开始,主动脉压或肺动脉压最高时最为响亮,随着压力的降低而快速减弱。患者于前倾坐位,置听诊器膜片与胸骨左缘,嘱其于呼气末时屏气,可更清楚地听到主动脉瓣关闭不全所致的杂音。

●舒张中期杂音通常是由于血流通过狭窄的二尖瓣或三尖瓣,杂音性质较低,呈隆隆样,可于舒张中、晚期闻及。嘱患者左侧卧位,听诊心尖部,可较明显闻及舒张中期杂音。

(9)舒张期杂音 舒张期杂音可分为舒张早期和舒张中期杂音两种(如下),图34所示为常见心脏杂音的位置和传导范围(分别为二尖瓣狭窄、二尖瓣关闭不全、主动脉瓣狭窄和关闭不全)。

(10)胸部和踝部的检查 在对被检查者进行心血管系统检查后,还应让受检者取前倾坐位,注意听诊肺底有无水泡音或胸腔积液。同时还应检查踝部,看其有无水肿,检查方法是用手指用力按压胫前,松手后看有无指压迹存在。

2.2.3 常见病理征象

左心衰或肺水肿表现为肺部X光片上出现蝴蝶征(图35)。

图35 胸部X线显示肺水肿(蝙蝠翅膀),右侧更明显

外周性水肿(图36)是右心衰竭的主要表现,这一点可以通过按压胫前皮肤得以证实,如手指移开后有压迹残留,则存在外周性水肿。

图36 周围水肿伴水泡

缺血性心脏病患者可见到arcus senilis(图37),因为血浆胆固醇水平较高。

图37 缺血性心脏病患者的老年(senilis)弓

表11列出健康人查体所见,表12列举出对心血管病患的护理要点。

表11 标准的心血管系统检查

表12 心血管系统疾病患者的护理

2.2.4 治疗和干预技巧

心电图和胸片是对心血管疾病进行临床评价两种重要的检查方法。

1.ECG

在诊断心血管疾病时,ECG与病史采集有同等重要意义,例如:假设经询问病史得知某患者有心梗征象,那么即使ECG正常也要按心梗处理。也就是说,如果患者有胸痛,而ECG正常,也许他正处于心梗早期,很有可能发生死亡。此外,对于胸疼的患者,还应反复做ECG以观察有无改变。图38所示每次心动周期所记录下来的波形及各组成部分(图39给出心肌梗死的ECG演变情况)。

图38 心电图的组成部分(单一导联下一次心脏搏动)

图39 心梗后心电图的图形演变

注意:心肌梗塞的部位可根据坏死图形出现于哪些导联而做出定位判断——例如,Ⅱ、Ⅲ、AVF异常,提示前壁心梗。

做心电图

在做心电图前,准备好所有器械(如表13),向患者解释做图的步骤。如:我打算给您做心电图,它是无痛的,而且只需要几分钟的时间。患者同意后即可做图。

表13 心电图机

●标准的12导联心电图机一次就能完成。如果用单导联机(一般在病房多见),先记录肢导联,然后逐个记录胸导联。

●肢导一般是水平的,如果不是就用表13所示的彩色电极。最好把电极放在无汗毛的区域,如前臂的内侧和腿的外侧,踝关节之上电极放置的位置见表14和图40。

表14 胸导联的位置

图40 胸导联的位置

●在做图之前,调基线为0。不管是单导联机还是12导联标准机Ⅰ、Ⅱ、Ⅲ、avR、avl、avF都能做出图来。

●上面完成后,就可以做胸导联的图(电极位置如表14)。

●做完图后标记患者姓名,做图时间,并分段标记各导联。

正常人心电图见图41,急性心肌梗死心电图见图42。

图41 正常的十二导联心电图

图42 急性前壁心肌梗塞的心电图变化。注意ST段。(划圈处)

2,分析心电图

心电图的各导联反映的是从不同方向监测心脏的情况,肢导是在矢状面上,胸导是在冠状面上(图43)。如果Ⅱ、Ⅲ、avF导联心电图不正常,则病变在下壁(图39),若I、avL和V6导联异常,则病变在左面侧壁。

图43 心电图各导联可从不同方向反映出心脏的变化

分析心电图时可按一定顺序进行,以防遗漏。一般程序如表15。

表15 心电图说明

除了会分析心电图外,记住一些常见图形也是很有用的(见图44~图50)。

图44 右束支传导阻滞。注意增宽的RSR波形,V1导联T波倒置

图45 左束支传导阻滞。注意增宽的RSR波形,V5、V6导联T波倒置

图46 心室异位。注意异常搏动时QRS波群的不同形状

图47 心房扑动。注意不规则心室波群中的锯齿部分

图48 心房颤动。注意不规则节律及正常P波的消失

图49 完全性房室传导阻滞。注意:P波及QRS波群各保持自身的节律,但彼此毫无联系

图50 室性心动过速。注意伴随较宽不规则波群的快速节率

3.主要的实验室检查

在心绞痛和缺血的早期,血红蛋白和白细胞是正常的,若心梗发生,则中性粒细胞升高。

4.心肌酶

用心肌酶的改变来确定是否有心梗。酶的高低能反映出心肌细胞死亡的多少。两种主要的酶是CK和AST。CK是心肌特异性酶,梗塞后几小时就升高。梗塞后12~24h能测出AST升高,通常48~72h恢复正常。AST也能在肝、肺中存在,因此缺乏特异性。另一个特异指标是肌钙蛋白,已在医院广泛应用。

5.胸片

质量好的胸片既能看心脏的情况又能看清肺野。如图51正常的后前位片所示的心影。

图51 正常的后前位胸部×片

心影右缘包括:

●上部:上腔静脉外缘和升主动脉

●下部:右房外缘,右房的下缘在膈的上面心影左缘包括:

●主动脉弓向后走行形成的凸出部分

●肺动脉

●左心耳

●左心室,末端心尖在膈的上面

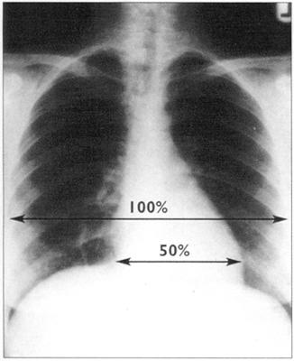
心胸比率能说明心脏大小。算法为心影的最大横径除以胸腔的最大横径,心胸比率只能在后前位上计算。正常情况下,其值应小于50%。左室和右房增大通常很容易鉴别,左房增大好像心缘又多出一个影,即双房影。

常见心血管疾病的主要特征见图52~图57。

图52 缺血性心脏疾病

图53 二尖瓣关闭不全

图54 二尖瓣狭窄

图55 主动脉瓣狭窄

图56 主动脉瓣关闭不全

图57 肺栓塞

随便看

 

文网收录3541549条中英文词条,其功能与新华字典、现代汉语词典、牛津高阶英汉词典等各类中英文词典类似,基本涵盖了全部常用中英文字词句的读音、释义及用法,是语言学习和写作的有利工具。

 

Copyright © 2004-2024 Ctoth.com All Rights Reserved
京ICP备2021023879号 更新时间:2026/5/31 20:54:48