甲状腺(thyroid gland)位于颈前部,气管上段的前面及两侧。分为左右两叶,相连两叶间有较窄的甲状腺组织,称为峡部(isthmus)。甲状腺外包薄层结缔组织被膜,结缔组织伸入腺体,将其分成许多形状不规则的小叶,每个小叶含20~40个大小不等的滤泡和许多滤泡旁细胞(图15-9),滤泡之间结缔组织内含丰富的毛细血管。成人甲状腺平均重量为20~40g。
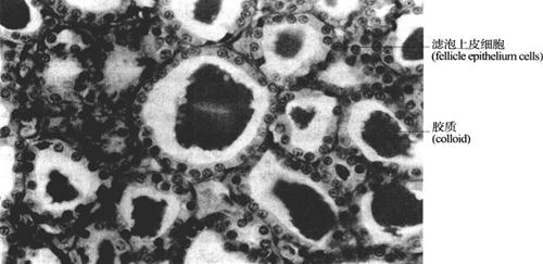
滤泡(follicle)为甲状腺的结构与功能单位,大小不一,呈球形或卵圆形。其形状和大小可因性别、年龄、营养状态及食物中的含碘量等而变化。滤泡由单层腺上皮

图15-9 甲状腺(400×)
细胞围成,称为滤泡上皮(follicular epithelium)。滤泡腔内充满胶状物,称为胶质(colloid),它是滤泡细胞分泌物在腔内的贮存形式,主要是甲状腺球蛋白(thyroglobulin)。滤泡上皮细胞多呈立方形,核圆居中,电镜下,滤泡上皮细胞游离面见微绒毛,胞质内含较发达的粗面内质网和高尔基复合体,溶酶体散在于胞质内。细胞顶部胞质内含电子密度中等、体积较小的分泌颗粒和从滤泡腔摄入的低电子密度的胞质小泡。滤泡上皮细胞的形状可随功能状态而变化,当分泌功能旺盛时,细胞呈柱状,滤泡腔内胶质减少,胶质较稀薄;功能减退时,细胞变为扁平,胶质增多而较黏稠。滤泡上皮细胞具有合成、贮存、碘化、重吸收、分解和释放甲状腺激素(thyroid hormone)的功能。
滤泡旁细胞(parafollicular cell)又称降钙素细胞(calcitonin cell),简称C细胞(图15-10)。数量少,单个位于滤泡上皮细胞之间或成群地散布于滤泡之间结缔组织中,在滤泡壁内的滤泡旁细胞顶端被邻近滤泡上皮细胞所覆盖,以致不与滤泡腔内胶状物相接触。HE染色标本,细胞呈卵圆形,细胞大而染色浅,又称亮细胞(1ight cell)。滤泡旁细胞合成和分泌降钙素(calcitonin)。

图15-10 甲状腺示滤泡旁细胞(400×)