网站首页  词典首页

请输入您要查询的字词:

 

字词 麻风杆菌的生物学特征
类别 中英文字词句释义及详细解析
释义

麻风杆菌的生物学特征


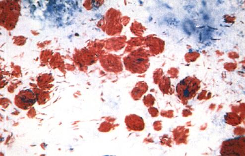
一、麻风杆菌的一般特征(图1-1a)

图1-1(a)

ML经萋-尼氏(Ziehl-Neelsen)抗酸染色法(简称Z-N法)染色在光学显微镜下可看到菌体被染成红色,呈直或略弯曲的杆菌,长1~8微米,宽0.3~0.4微米。ML无鞭毛、无芽孢,至于有无荚膜的问题,至今仍有争论

Draper等用电子显微镜测量和称重法测得ML长2.1±0.5(SD)(1)微米,而一条ML重3.9±1.0(SD)×10-14克。

(一)染色特点

ML对抗酸染色、革兰氏染色均呈阳性。前者称为ML的抗酸性,这不是指ML有抵抗酸性物质的能力,而是指在用Z-N法染色时,ML能被石碳酸复红染成红色,着色后在规定条件下不能被酸性溶液(或酸醇溶液)脱色的现象。这种抗酸性可经新鲜、纯净的吡啶提取(2小时)而丧失,也可经过碘酸处理而恢复。Convit认为这是ML独有的,是鉴定ML的重要标准之一。我国吴勤学氏支持Convit的观点。

(二)形态特点

形态上的多形性是ML的另一特点。麻风病人组织涂片经Z-N法染色后在光学显微镜下能看到杆状的着色均匀的菌,也可看到短杆状、断裂状、串珠状及颗粒状等形态的菌。细菌形态与病人治疗情况有密切的关系。许多细菌学家认为,这种多形性是ML生命周期(1ife cycle)的一部分或是ML的芽孢型(spore form),Rees等人以光学显微镜和电子显微镜进行对比观察后认为,那些不规则染色的菌是无活力的,是由于菌死后细胞内含物部分损失所致(图1-1b)。

图1-1(b)

这些研究是迄今所用ML形态指数(MI)的基础,即认为那些着色均一的杆菌为完整菌,而其余的为不完整菌。前者有活力,后者为退行性变菌,但也有一些学者不同意上述观点。

近年来的研究发现在含ML的组织中也存在无抗酸性(non-acid fast)ML。也有人发现MI为零的菌悬液在鼠足垫接种后仍然能生长,而与此相反,亦发现形态完整的菌经鼠足垫接种后不能生长的现象。

ML除显示多形性特点外,还显示有群簇性排列的特征。涂片中在组织细胞内外都能看到ML或平行排列成束状,或成团丛。这种排列现象是其它分枝杆菌少有的,其原因至今尚不清楚。有人认为是由于菌分泌“菌胶质”引起的。有人则认为可能是由于宿主对菌作用的结果。

二、麻风杆菌的生物学特征

这些资料均是通过小鼠足垫接种技术研究获得的。

(一)世代时间(generation time)

据hepard的研究结果,在正常小鼠足垫中在对数生长期ML一个世代的时间平均是11~13天,这种增殖率是相当慢的(结核杆菌是20小时)。有人分析可能由于正常鼠在6个月时产生了预防免疫而限制了ML的生长,但Rees用胸腺摘除后全身X线照射的鼠做试验时发现世代时间并没有改变。

(二)最适生长温度(optimum temperature)

根据麻风主要侵犯皮肤、鼻粘膜和周围神经,特别是机体的表浅部位,提示ML的生长温度低于37℃。犰狳是一种对ML易感的动物,它的体温为30~36℃。小鼠足垫温度范围为27~30℃。当小鼠体温低于25℃或高于36℃时,ML在足垫中的生长明显减少。

(三)最小感染量(minimal infective dose)

若认为匀一染色的ML(即完整菌)是活菌的话,MeRae和Shepard(1971年)在小鼠足垫接种试验中发现,最低感染量为3~40条完整菌。

(四)活力和致病性(viability and pathogenicity)

麻风杆菌于4℃保存在组织中或其匀浆中7~10天活力不变。在小鼠或犰狳生长模型中ML的致病力不因供菌病人的型别、种族和地理环境的不同而不同。ML在正常小鼠足垫中连续传代数年也不改变其致病力。来源于免疫抑制小鼠或犰狳的ML在小鼠足垫中的生长规律和致病力与来自病人的ML相同。Shepard和Rees都证实了ML有低平顶株(low plateau strain)和高平顶株(high plateau strain)。两者在致病力和麻风临床型别上无差别。但低平顶株的免疫原性比高平顶株为强。

(五)麻风杆菌在体外的活力及对理化因素的抵抗

1.有人发现,当温度为32.5℃和最大湿度为78%时,平皿中干燥的ML忌活28天。温度为32℃和最大湿度为32%时则菌可活14天。若在盐水中室温情况下保存可活43天。在土壤中室温情况下保存可活46天;Davey的实验结果表明,平均温度为20.6℃,湿度为43.7%时菌可存活7天;Desikan认为,若平均温度为36.7℃和湿度为77.6%时菌可存活9天。报告的这些结果虽颇不一致,但均表明ML离体后仍能存活一段时间,且在潮湿环境中存活时间延长。

2.化学因素对ML活力的影响:含活ML的悬液在室温与0.5N NaOH接触20分钟后,ML的活力不发生变化。这已成为含菌标本去除杂菌污染的非常重要的手段。

现已证明ML忌以贮存在液氮中,10%(V/V)的二甲基亚砜是最好的保护剂。在标本送运中,无论菌悬液还是含菌组织,在4℃能维持7天而细菌活力无明显丧失。

此外,实验证明氨苯砜(DDS)、氯苯吩嗪(B663)和利福平(RFP)都有杀菌作用,尤其RFP可迅速杀死ML。

在麻风防治实践中,碰到了两个饶有意义的问题,就是耐药菌株和残存活菌(持久菌)的出现。

(1)耐药菌株:当今已在40多个国家发现了原发性和继发性耐药,这已对麻风的流行病学发生重大影响。目前已发现对DDS、RFP和B663的耐药菌株。这些耐药菌株是在抗感染的化疗过程中逐渐产生的。有些人认为是由于小剂量和不规则治疗使菌对化疗药物产生了适应性,即在代谢途径上发生了适应性的变化。这种获得性可以遗传,而且即使再给予有效剂量的药物也毫无效果。另一种观点认为,产生耐药菌株的原因是选择性的结果,即对药物敏感的菌株均被杀灭,剩下的为自然的不敏感菌株。

(2)组织残存活菌:是指瘤型病人在有效杀菌浓度药物作用下仍然有存活的菌。乍看起来它与耐药菌株一样,但实际上这类菌所具有的性质不能遗传。其产生机制也与耐药菌株截然不同。即在器官或组织中由于种种原因(如坏死)造成氧张力低下,ML菌体处于适应性的休眠状态,由于代谢缓慢不能摄取有效量的药物和将其代谢,而表现对有效药物在有效浓度条件下不敏感。当条件改变,菌从休眠状态“复苏”过来、代谢恢复正常时,就能被同种有效药物重新杀死。这种现象最早见于结核病、布鲁氏菌病以及链球菌感染等。当然耐药菌亦可残存于某些组织,而造成混淆,但在ML增殖后用药物敏感试验能将它们区别开来。

3.物理因素对麻风杆菌活力的影响

温度 根据已有的实验报告:在-25℃~-60℃菌可活数月,在0℃时经3~4周活力显着丧失,在18℃~23℃与 30℃~33℃时可活3周,45℃时迅速丧失活力,60℃时则完全丧失活力。占部氏亦发现在5℃时,菌保存1~3日其活力几无损害,4日略受损害,7日受相当损害,14日活力显着低下。在冻结时,24小时不受影响,1周时活力丧失10%。8~12周与1~4周时情况无大差别。若在-20℃保存时,5周活力略低下,15周时明显低下。据最近的实验报告,在-80℃条件下保存10个月菌之活力无变化。若煮沸1~8分钟活力受到影响,15分钟时则活力丧失。温度为60℃,经5分钟仍保持活力,10分钟时活力明显低下,30分钟时才完全丧失活力。实际工作中,一般均煮沸20~30分钟。高压蒸汽灭菌法15磅/平方英寸压力时温度可达120℃,15~20分钟是完全可以杀死ML的。

紫外线 经夏日日光照射1小时ML显着丧失繁殖力,照2~3小时即完全丧失繁殖力,中村等还报告,当用波长2537埃的紫外线照射ML时(距离为15厘米),2小时可使其活力完全丧失。我国王荷英等报告,当温度为27~32℃,相对湿度为30~37%时,日光照射2小时以上菌丧失活力;用紫外线照射(距离为120~213厘米)30分钟以上菌即丧失活力。

附:萋-尼氏(Ziehl-Neelsen)抗酸染色法原理

Ziehl-Neelsen氏染色法,系抗酸染色法,其特点是可使分枝杆菌着染石碳酸复红后经稀酸或稀酸醇溶液处理在一定条件下不脱色,在显微镜下菌体呈红色。染液配制及染色过程见第二章,这里仅简述抗酸染色的原理。

有关抗酸染色的原理,曾有不同的解释。目前一般认为,菌的抗酸性质与分枝菌酸的存在和菌细胞的完整性有关。即用所谓的分配系数学说来解释抗酸染色的原理,认为石碳酸和碱性复红按分配系数分布于细菌、染色液和脱色剂之中。分枝杆菌(AFB)因含有多量的分枝菌酸,所摄取和保留的石碳酸和染料较多,应用脱色剂时,对于非抗酸菌,因为溶于脱色剂中的染料和石碳酸量较之细菌内溶解的多,所以染料和石碳酸离开细菌。对于抗酸菌则情况相反,菌体内溶解的复红石碳酸复合物比溶于脱色剂中多。加上完整细胞壁有阻止已溶的石碳酸复红迅速扩散到细胞外的作用,所以菌不致脱色。如细胞壁破裂致使脱色剂与染料直接接触,溶解增加,同时已溶染料向外扩散不受约束,因而失去抗酸性。另外,由于菌体外壁能限制染液的进入,故在染色时加温以促染料透入,否则染色的时间要延长。

随便看

 

文网收录3541549条中英文词条,其功能与新华字典、现代汉语词典、牛津高阶英汉词典等各类中英文词典类似,基本涵盖了全部常用中英文字词句的读音、释义及用法,是语言学习和写作的有利工具。

 

Copyright © 2004-2024 Ctoth.com All Rights Reserved
京ICP备2021023879号 更新时间:2025/10/18 22:24:17