肿瘤的一种。由覆盖上皮或腺上皮发生的乳头状良性肿瘤。多见于马、牛、羊的头、颈、外阴、乳房皮肤和口腔、食管、膀胱黏膜。肿瘤表面呈菜花状或绒毛状,根部狭窄,常形成蒂与基底部正常组织相连。显微镜下,每个乳头以含有血管的分支状结缔组织间质为轴心,表面覆盖增生的上皮。
系由覆盖上皮发生的,向表面呈外生性生长,由许多乳头状突起构成菜花状或绒毛状的一种良性肿瘤。此种瘤镜下检查可确定病理性质。此类肿瘤覆盖上皮可为鳞状上皮(如发生在皮肤、外耳道、阴茎、声带等处)、柱状上皮(如发生在胃、肠等)、移行上皮(如肾盂、膀胱)等。乳头状瘤手术切除预后良好。
乳头状瘤
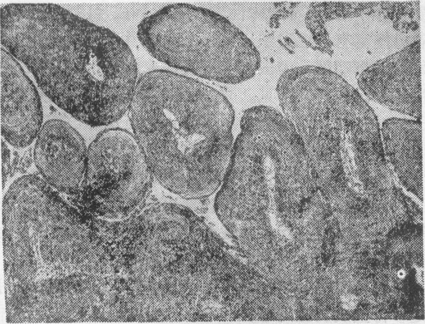
乳头状瘤为被覆上皮(包括鳞状上皮、移行上皮、柱状上皮和室管膜上皮)发生的良性肿瘤。肿块呈乳头状、菜花状或息肉状;大部分有蒂,少数基底广,无蒂。有时肿块的乳头状突起很纤细,似绒毛,称为绒毛状乳头状瘤。当其间质较丰富,胶原纤维较多时,肿块质地较硬(硬性乳头状瘤),间质少时则质软(软性乳头状瘤)。组织学上表现为分枝状富含血管的结缔组织索芯,表面覆以增生的上皮性肿瘤细胞,瘤细胞排列与正常的上皮组织排列相似,异型性不明显,核分裂象罕见,瘤细胞下的基底膜完整。乳头间质内伴有或不伴有炎性细胞浸润。乳头状瘤依其发生上皮的种类,可分为鳞状细胞乳头状瘤、基底细胞乳头状瘤、移行细胞乳头状瘤、柱状细胞乳头状瘤、室管膜乳头状瘤和脉络丛乳头状瘤等;依其生长方式,可有向表面生长形成的外生性乳头状瘤和向内生长的内生性乳头状瘤之分。外生性乳头状瘤远较内生性多见。
鳞状细胞乳头状瘤 发源于皮肤和粘膜鳞状上皮或化生的鳞状上皮,多见于喉、咽、舌、外耳道、肛门等处。大部分属于硬性乳头状瘤,乳头较粗短,表面覆以角化鳞状上皮,呈不同程度的棘细胞层增生、角化过度和角化不全。皮肤真正的乳头状瘤少见,大部分属于其他皮肤病的一种乳头状瘤样增生。

鳞状细胞乳头状瘤
移行细胞乳头状瘤 发生于泌尿道,在膀胱三角区和膀胱的输尿管入口处尤其多见,单发性或多发性。大部分属软性或绒毛状乳头状瘤,乳头细长,常因漂荡于尿液中易于折裂脱落而发生血尿。乳头表面被覆上皮与正常膀胱粘膜移行上皮的结构基本相同。膀胱乳头状瘤切除后容易复发,且易于发生恶性变,因而有许多人主张将其看作低度恶性的乳头状癌。
柱状细胞乳头状瘤 可发源于单层或假复层柱状上皮和导管内衬上皮,如胃肠道乳头状瘤。多属软性或绒毛状乳头状瘤,乳头细长,表面被覆单层柱状上皮细胞。但一般胃肠道单纯绒毛状乳头状瘤罕见,往往在其底部合并存在腺瘤组织成分,故称为绒毛状腺瘤。鼻咽部和气管乳头状瘤的乳头表面可全部或部分覆以假复层柱状上皮细胞; 乳腺导管内乳头状瘤发生于输乳管和较大的乳腺导管内;脉络丛乳头状瘤发源于脉络丛被覆上皮,在脑室内形成乳头状肿块,乳头由富含血管的纤维组织索芯及表面覆以单层柱状或立方上皮细胞构成。卵巢表面乳头状瘤有时可伴有或不伴有卵巢乳头状囊腺瘤。
内生性乳头状瘤 一般的乳头状瘤均由被覆上皮向体外或腔(管)道表面生长,成为外生性乳头状瘤。如乳头状瘤不是向表面生长,而是向组织内部生长,向下陷入结缔组织内,增生成乳头状,则称为内生性乳头状瘤,较少见,常发生于鼻腔和泌尿道。增生的上皮首先陷入上皮层下的结缔组织内形成陷窝,并在陷窝内形成许多乳头。组织切片上,以上皮细胞团块或条索中呈现微小囊腔(陷窝)为其特征。有时同时可伴有外生性乳头状瘤的变化。本瘤属良性,少数病例可发生恶变。