网站首页  词典首页

请输入您要查询的字词:

 

字词 小结或结节
类别 中英文字词句释义及详细解析
释义
小结或结节

小结或结节

局限性细胞增生所形成的境界清楚的病灶称为小结或结节。小结(结节)大多是一种炎性增生性反应,有的小结(结节)则是由于某些物质或病原体的局限性作用所引起。
风湿小结 又称Aschoff小体,是风湿病的知病性病变。典型的风湿小结见于心肌,不典型的也可见于关节的滑膜、关节囊、腱鞘、筋膜、浆膜和皮下组织。风湿小结病变的发展过程可分为三期——渗出期、增生期、愈合期。增生期在风湿病中有诊断性的意义。在渗出期中,心肌间质的结缔组织内有灶性纤维素样变性和粘液样水肿,其周有白细胞主要是中性粒细胞和散在的淋巴细胞、浆细胞及组织细胞浸润。病灶内的胶原纤维可出现肿胀,一般认为与血浆蛋白质的沉积有关。增生期即形成风湿小结。多位于心肌间质的小血管旁,呈圆形或卵圆形的小结。病灶由单核的白细胞、成纤维细胞、Anitschkow细胞和偶见的Aschoff巨细胞所组成。Anitschkow细胞由于染色质聚集在核的中央而呈锯齿状、波纹状,故又称为毛虫样细胞。这可能是Aschoff细胞的前身。这些细胞的来源尚有争论,大多数学者认为它们是变异的组织细胞而不是来源于肌细胞。典型的巨细胞有一个、两个或几个折叠的多叶的核,具有显著的猫头鹰眼样的核仁,称为Aschoff细胞。这期的改变是风湿病的典型的形态学的标志。愈合期,病灶发生进行性纤维化和透明变性,散在少许淋巴细胞,偶见浆细胞和组织细胞,最后瘢痕化。过去一般认为风湿小结的存在,是代表活动性风湿病变的证据。目前认为风湿小结内仅具有Aschoff细胞,不一定代表风湿病变的活动性,只有当风湿小结内有水肿、炎细胞浸润以及纤维素样变存在时,才可认为风湿病处于活动期。
风湿性皮下小结 好发于肘、腕、膝、踝等关节附近的伸侧皮下,粟粒至黄豆大,无痛或微痛,常为多个,两侧对称。镜下结构和心肌内的风湿小结相似,中心为纤维素样坏死,常不甚彻底,尚可见纤维状的细胞轮廓。外周为风湿细胞、组织细胞及成纤维细胞,后二者常呈放射状或栅栏状排列。再外为淋巴细胞浸润。这种小结常出现在儿童风湿热急性发作时,经1周左右发生纤维化而消失。类风湿小结 20~30%的类风湿病人在肘、踝等处发生皮下小结,其组织形态是坏死区较大,外围的成纤维细胞排列呈栅栏状。结节数目少,有痛感,发生后持续时间常达数年。这种小结还可发生在心包膜、心瓣膜、肺、胸膜和肌膜等处。用免疫荧光法可显示小结中心有免疫球蛋白,说明其发生可能与自身免疫有关。有时全身性红斑狼疮及环形肉芽肿患者也可发生类似的小结,称为假类风湿小结。
伤寒小结 也称伤寒肉芽肿,是由巨噬细胞增生形成的局限性病灶,是伤寒病的特征性组织学改变,可发生在肠、肝、脾、肠系膜淋巴结和骨髓等处。早期,这些巨噬细胞具有极强的吞噬功能,常吞噬红细胞、淋巴细胞、伤寒菌和一些坏死的细胞碎片。由于其中细菌的毒素作用,约1周以后这些细胞群转变为凝固性坏死灶。
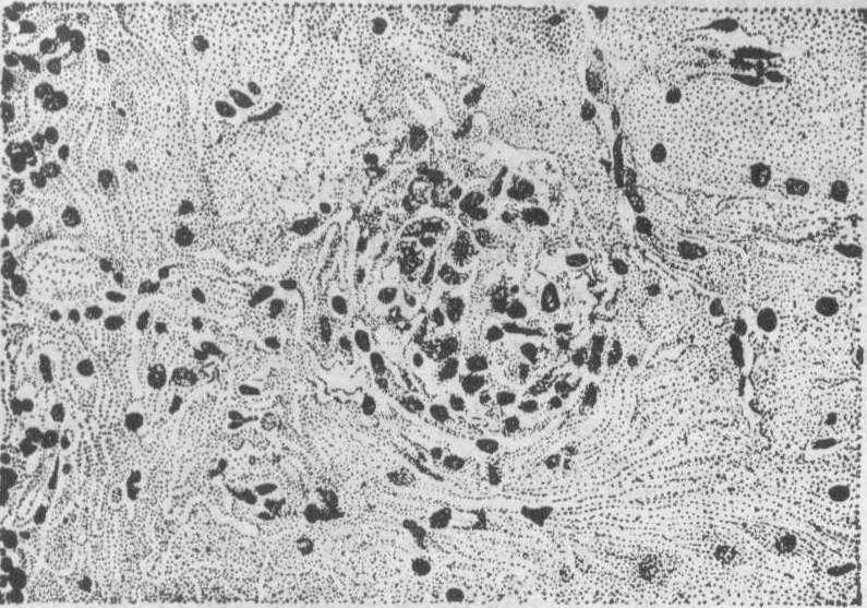
斑疹伤寒小结 立克次体进入人体后主要在血管内皮细胞内繁殖,所以小血管内皮细胞常肿胀增生,甚至阻塞管腔(血管炎),其外并有淋巴细胞等围绕。斑疹伤寒小结就是以增生的细小动脉或毛细血管为中心形成的。结节小,镜检才能看到。分布于大、小脑各处,尤其多见于大脑导水管周围,以及桥脑、延髓橄榄核等处的灰质。在皮肤、睾丸、心肌间质亦可发生,但不如脑内的小结多而明显。脑内的小结中央,毛细血管因内皮细胞肿胀增生常致管腔闭塞,周围有多数的小胶质细胞、小突胶质细胞及巨噬细胞等成分。脑内的这些小结是本病较为特殊的病变,在虱型斑疹伤寒中较蚤型中多见。


图1 脑的斑疹伤寒小结


胶质细胞小结 病毒性脑炎时在脑及脊髓灰质内常见细胞排列密集而成的小结,小结内的细胞数目由数个至十数个,大的可超过一百个,细胞核的形状或为杆状(似小胶质细胞),或为圆形,或为碎裂的多形核。这些小结常发生在变性坏死的神经细胞周围,或在小血管附近。关于小结细胞的成分和来源至今认识不一致,多数人认为它是小胶质细胞局部增生的结果,故称之为胶质细胞小结。也有些作者认为它是来自血液的单核细胞。小结的多少与神经细胞的变性坏死程度有关,而与淋巴细胞围管性浸润不一定成比例。脑炎的胶质小结和斑疹伤寒小结的形态虽近似,但后者以小血管为中心,且血管内皮细胞显著增生,与脑炎的胶质细胞小结不同。典型的胶质细胞小结见于各种病毒性脑炎如乙型脑炎、狂犬病以及脊髓前角灰质炎等。细菌和其他病原引起的炎症无此反应。各种病毒性脑炎中的胶质细胞小结形态都彼此类似,只是分布有所不同,如狂犬病时主要在延髓、中脑黑质、脊髓后根节等处(又称Babes结节),乙型脑炎以间脑、中脑、大脑皮质为多。
土拉菌病小结 土拉杆菌经皮肤、眼结膜或消化道感染人体,主要在皮肤、淋巴结、肺、脾等处发生局灶性坏死和增生性炎症反应,肉眼观似粟粒结核结节,称土拉菌病小结。灰白色,早期为2~3mm大小,小结中心为广泛的坏死,外周为巨噬细胞。晚期较大,形似结核性肉芽肿,中心部的坏死区变小,其外为放射状排列的类上皮细胞,有时有少数郎罕巨细胞。坏死区内常查不到本杆菌,须与猫抓热、结核等病的小结鉴别。
矽结节 因吸入二氧化硅 (SiO2)的粉尘引起,主要发生于肺内。矽肺病变程度与吸入矽尘的多少及矽尘的大小有密切关系。直径大于5μm的矽粒在空气中易下沉,吸入的机会较少,且吸入后易被呼吸道粘膜排出;小于5μm的矽粒则较易吸入肺内,引起矽结节。矽尘还可扩散到肺门等淋巴结以及脾、肝内,形成矽结节。
矽结节的形成机制迄今仍未完全了解,有三种可能的致病方式:
❶直接化学作用: 吸入的SiO2遇组织中的水分,逐渐溶解形成矽酸,由矽酸引起组织损害和纤维化。因SiO2溶解度低,所以作用慢而持久,矽结节可逐渐扩大。但实验证明各种矽粒溶解度高低与矽结节的大小不成正比例,可见不是单纯由此引起的。
❷生物膜损伤的间接作用:吸入的SiO2被巨噬细胞吞噬后,被胞质中的吞噬体包绕,与溶酶体融合,形成次级溶酶体。SiO2在其内形成矽酸,可破坏溶酶体膜,使之崩解,大量水解酶和矽酸遂进入细胞质内,使细胞内结构溶解致细胞坏死。坏死细胞释出的细胞分解产物和矽酸等引起周围纤维组织增生而形成结节。实验证明,可的松、克矽平等可保护溶酶体膜不受破坏,此时矽粒不引起纤维化。
❸免疫作用: 吸入的SiO2与组织中的蛋白质结合形成抗原,与自身抗体结合后沉积于矽粒周围。据Pernis等测定,矽结节内透明变性的部分除含胶原和脂质外,还含有大量的丙种球蛋白。但这些球蛋白也有可能是矽结节从血液中吸附来的,其沉积可使已形成的结节增大,却不一定是结节形成的始因。
矽结节常先发生于肺膜下、血管旁和呼吸性支气管的肺泡,可能因这些部位较为固定,呼吸时活动较少,矽粒容易沉积之故。在这里,矽粒被巨噬细胞吞噬后,被带入肺泡壁,并逐渐集中到血管和支气管旁等淋巴组织较多的部位形成结节。肺门淋巴结是SiO2集中的部位,也是出现变化最早的部位,其次在淋巴结以外的肺中央区和肺膜下病变较重。
矽结节的大小与疾病的发展阶段有关,早期呈粟粒大小,直径为1~2mm,晚期可增大到2cm以上。圆形或圆柱形,分界清,灰黑色,致密硬实。显微镜下只在极早期含细胞较多。通常看到的矽结节均由同心环状或涡状排列的胶原纤维所成。纤维呈明显的透明变性,以结节中心最显著。在结节中心有时还可看到小血管的残余。结节内很少有细胞核,结节外层则有受挤压的纤维细胞及少数淋巴细胞浸润。用偏光显微镜观察,在结节中可见矽粒,以外围部为多。由于矽粒的持续作用,外围不断纤维化,结节逐渐扩大,邻近的结节可互相融合,故于重症病人晚期,肺内结节多而且大。
矽末与煤末混合沉积在肺内可引起煤矽结节。结节中心似上述矽结节,但含有煤尘,结节外围有宽广的黑色煤尘沉积之纤维化带。类风湿病人吸入矽尘时,形成的结节既多且增大迅速,其外层的纤维细胞呈栅栏状排列,与一般矽结节不同。可能是因类风湿病人的免疫机能异常,矽尘引起之组织反应就比一般人更显著。肺的这种结节称为类风湿尘肺结节(Caplan病灶)。
含铁小结 多见于高度淤血的巨脾中,为黄色或褐色的米粒大硬结,分散于红髓内。镜下见小结多为长条形或圆形,常在脾小梁附近。小结内有密集的纤维组织,苏木素伊红染色时常见三种不同颜色的物质: 在小结内有多数染成紫蓝色长短不一的纤维条,条间夹杂有灰绿色半透明杆状结晶样物质,外层有多量褐黄色的含铁血黄素颗粒。从前曾把这些杆条状物质当作真菌,误认是本病的病原体,其后证实它只是铁和钙盐沉积的胶原纤维。凡是能引起脾静脉淤血的病,如门脉性肝硬化、晚期血吸虫病等都能形成这种结节。可能是因为脾淤血时,有的小静脉因内压过大而发生小出血,出血后红细胞破坏,血红蛋白分解,形成含铁血黄素,同时出血机化,纤维组织增生,终于形成这样的小结。故此小结实为脾髓内陈旧小出血的遗迹。含铁小结还见于镰形红细胞性贫血,因镰形红细胞较易阻塞脾的小血管,引起局部组织缺血坏死,以后发生纤维化和钙化,同时坏死的红细胞分解形成铁质,在局部沉积而成。


图2 脾的含铁小结


歌唱家小结 又称结节性声带炎,是发生在声带的小结节或息肉,粟粒大小,多位于声带前1/3和中1/3交界处,常双侧对称,其发生与声带使用过度或发音不当有关。歌唱家、教师等较易发生,可能是两声带长期靠拢发高音时,声带过度震动受损伤所致。其病理改变与声带息肉相似,组织中炎症浸润很轻,主要为局部血液循环障碍的改变。有的在声带上皮下疏松组织内呈显著水肿,有的则纤维组织较多,血管扩张充血或出血,扩张的血管内可有血栓,血管外围的间质中常见伊红染的纤维素物质沉积。过去把这些血管内外透明变的物质当作淀粉样物质,但用甲基紫染色并无淀粉样物质的特殊变色反应,也无巨细胞反应。与真正的淀粉样变不同。患者声音常嘶哑,检查时须与真性喉肿瘤区别,应作活检确诊。
痛风结节 又称痛风石,是慢性痛风时尿酸盐大量沉积在组织内所引起的慢性炎症增生,是对痛风有诊断意义的病变。好发于指(趾)关节旁、耳轮、对耳轮、脊锥体、皮下及滑液囊、主动脉瓣、二尖瓣、心肌、主动脉、鼻软骨等处。切面呈石灰样白色,镜下见结节中心为大量针状尿酸盐结晶,外围为异物巨细胞、巨噬细胞、淋巴细胞、浆细胞等慢性炎症反应及纤维组织增生。因尿酸盐易溶于水,故取材检查时要用无水酒精固定。


图3 痛风结节


1.炎细胞浸润; 2.纤维组织; 3.巨细胞; 4.尿酸盐结晶。
结核结节 是发生于结核病时的一种特征性病变,本质为结核性肉芽肿,对诊断结核病颇有价值。肉眼可见结核结节境界清楚,约粟粒大小,呈灰白色,有干酪样坏死时则略带黄色。镜下见结核结节的中央常有程度不等的干酪样坏死,坏死灶的周围常可见有大量增生的类上皮细胞。类上皮细胞起源于巨噬细胞。巨噬细胞因吞噬结核菌后,菌体破坏释出大量的磷脂的刺激作用而使其变为类上皮细胞。此外,常可见较为典型的郎罕巨细胞。周边部有多少不等的淋巴细胞浸润、少量成纤维细胞和纤维组织所包绕。结核结节的形成常表明机体的免疫功能较好。
☚ 病灶   小体 ☛
00010106
随便看

 

文网收录3541549条中英文词条,其功能与新华字典、现代汉语词典、牛津高阶英汉词典等各类中英文词典类似,基本涵盖了全部常用中英文字词句的读音、释义及用法,是语言学习和写作的有利工具。

 

Copyright © 2004-2024 Ctoth.com All Rights Reserved
京ICP备2021023879号 更新时间:2026/4/18 13:38:22