网站首页  词典首页

请输入您要查询的字词:

 

字词 脑ct扫描
类别 中英文字词句释义及详细解析
释义
脑CT扫描

脑CT扫描

CT扫描是用X线对人体作体层扫描,测得体内不同层面、不同组织对X线吸收系数的信息,通过电子计算机处理,再组成该体层面图象的方法,来诊断人体内部疾病,尤其在颅脑系统,更具有优越性。由于CT扫描具有无创伤、高度分辨率、定位准确和迅速安全等特点,现已广泛应用于临床。
CT扫描是1972年由Hounsfield设计成功,扫描机主要包括扫描装置、信号转换和贮存、电子计算机、记录、显示和控制等部份。扫描装置包括X线球管(能量具110~150KV、30MA)和探测器,常用的探测器有碘化钠晶体、锗酸铋和氙气等,两者相对固定在一个同步移动和旋转的框架上。人体头部置于框架内,以窄的笔形X线束行直线扫描,扫描至终点,框架转1°角,并对同一层面再行扫描,反复来回和旋转至180°,即完成一次层面扫描。由于装有两个探测器,故可得此层面相邻两个信息,即两张图象,此为第1代;以后又发展成扇形(10°角)X线束,增加探测器至30个,扫描至终点,框架转10°角,扩大扫描面积,增快速度,为第2代;第3代为X线呈30°角扇形,探测器约300个,两者绕层面纵轴旋转360°,扫描时间由第一代的3~6分缩短到2.4~10秒;第4代为探测器600~720个全周固定,X线球管绕层面纵轴旋转360°,目的为提高图象质量,扫描时间1~5秒。扫描时由于组织对X线吸收系数不同,探测器接受到的X射线强度也不同,因而发出的可视光线也强弱不同。可视光线经光电倍增系统放大,经模-数转换器转成数字,送入电子计算机处理,得出该层面各点(单元)的吸收系数,以矩阵数码形式输出,再经数-模转换器变成图象信号,由显示器显出,也可摄影记录。
为了计算组织对X线的吸收系数(即衰减系数),人为地制定CT值,以水的吸收系数为0,空气为-1000,骨胳为+1000,称Hounsfield单位。亦有用EMI单位,两者换算2 Hounsfield等于1 EMI。在CT扫描机上都设计有窗宽和窗位两个调节装置,调节要观察的主要组织CT值的上下限称窗宽,其中心为窗位。
颅脑扫描以眶耳线为基线,即眼外眥和外耳道口连线,行平行于此线扫描8~10层面,或与此线成一定角度,也可行冠状面扫描,获得冠状面图象。
颅内各种正常组织的吸收系数各不相同,脑脊液最低,约在+2~+12Hu单位,脑白质约在+25~+34Hu单位,脑灰质30~40Hu,松果腺和脉络丛则更高。因此在图象上可显示出脑室、脑池和脑实质的形态和位置(图1)。


图1 CT扫描显示脑和脑室的正常形态


颅内各种病变,由于其组织密度不同,对X线吸收高于脑实质则表现为增白高密度阴影,如钙化、出血、肿瘤等。对X线吸收低于脑实质则表现为灰黑低密度阴影,如坏死、水肿、囊肿、脓肿、肿瘤等。还有病变对X线吸收和脑实质相似的,则表现密度相同。为了提高CT扫描的分辨率,可给病人静脉注射含碘造影剂(成人可给60%泛影葡胺100ml),增强病变组织和正常组织间的密度对比,提高诊断率。此外,脑室和脑池的形态变化,亦有助于颅内疾病的诊断。下面对颅内各种疾病作简单评价。
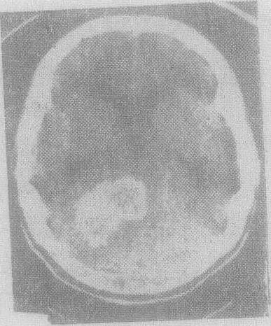
肿瘤 CT扫描对颅内肿瘤的诊断价值较高,依据肿瘤组织对X线吸收系数可高于、低于或等于正常脑实质,肿瘤的占位改变可引起脑室和脑池移位,反映出肿瘤的位置。静脉注射造影剂增强,使血液丰富的肿瘤更清晰显示其形态和位置(图2),更能显示和脑实质相等的脑肿瘤。肿瘤外围有水肿


图2 造影剂增强后CT扫描,显示高密度脑膜瘤

时,常能显示出低密度环绕带。肿瘤内部有出血、钙化则密度增高变白,有囊液或脂质则密度降低变灰黑。CT扫描虽能发现肿瘤,定位亦很明确,但对肿瘤的定性并不完全可靠,显示肿瘤的血供和循环不如脑血管造影。在颅底和后颅窝较小的肿瘤,由于骨胳影的影响,有可能漏诊。
血肿 脑外伤或其他原因出血形成的血肿,CT扫描常能发现,新鲜血液和凝血块显示高密度增白阴影。血肿液化分解,其密度渐渐变低,可低于脑实质呈灰黑阴影,因而可观察血肿的形态、位置和演变过程。
梗塞 脑血管梗塞后,出现脑水肿、软化,显示为低密度阴影。在梗塞后4周内,造影剂可增强,梗塞区有密度不均匀增高。2个月后CT扫描,梗塞区仅表现为低密度阴影,伴局部脑室扩大。
其他 脑萎缩、脑积水和脑发育异常,CT扫描可显示脑室、脑池和脑实质情况。脑脓肿可显示低密度的脓肿范围,脓肿包膜可被造影剂强化,呈环状高密度影。脑萎缩表现为脑沟、脑池增宽,脑室扩大。
☚ 脊髓X线检查   颅脑超声波 ☛
00011616
随便看

 

文网收录3541549条中英文词条,其功能与新华字典、现代汉语词典、牛津高阶英汉词典等各类中英文词典类似,基本涵盖了全部常用中英文字词句的读音、释义及用法,是语言学习和写作的有利工具。

 

Copyright © 2004-2024 Ctoth.com All Rights Reserved
京ICP备2021023879号 更新时间:2025/12/2 21:49:50